By Sahil Rawal ‘19

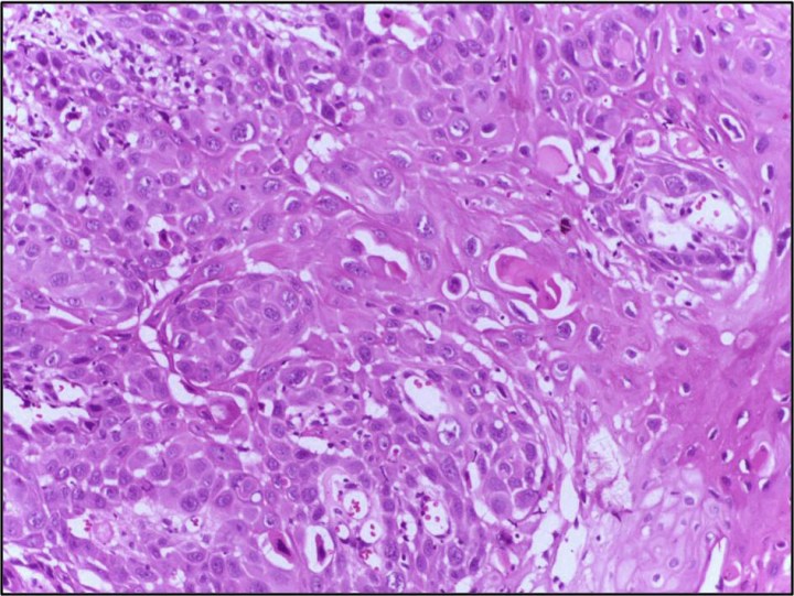
Cutaneous squamous-cell carcinoma is one of the most common skin cancers, and approximately 8500 people died from it as recently as 2012. A majority of patients who are diagnosed with this type of cancer are cured by surgery, but a small percent of patient are not because of metastasis or the tumor being unaffected by surgery. Since some of the markers of this carcinoma seem to be similar to other tumors that can be treated with immunosuppressants, a study was conducted to see if cemiplimab (a monoclonal antibody) can induce lasting change to treat this type of tumor.
Dr. Migden and his team of researchers from the University of Texas analyzed a cohort of patients with cutaneous squamous-cell carcinomas to see how they reacted to cemiplimab. During the study, the patients were administered 3 mg per kg of body weight of cemiplimab every 2 weeks. The results of the study showed that 47% of patients had a response to the drug, and the response lasted longer than 6 months for 57% of patients. However amongst the entire patient population, approximately 15% of the sample had adverse events occur. This includes diarrhea, fatigue, and nausea among other events.
Overall, the results of this study suggest that cemiplimab could be a viable treatment for squamous-cell carcinomas in patients with competent immune systems. Further studies should be conducted on using immune-therapy as a means of treating cancers that are extremely mutated.
References
- M. Migden, et al., PD-1 Blockade with Cemiplimab in Advanced Cutaneous Squamous-Cell Carcinoma. The New England Journal of Medicine, (2018). doi: 10.1056/NEJMoa1805131
- Image retrieved from: https://commons.wikimedia.org/wiki/File:Squamous_cell_carcinoma_skin,_Well_differentiated_40X.jpg

