By Daniel Walocha ‘19

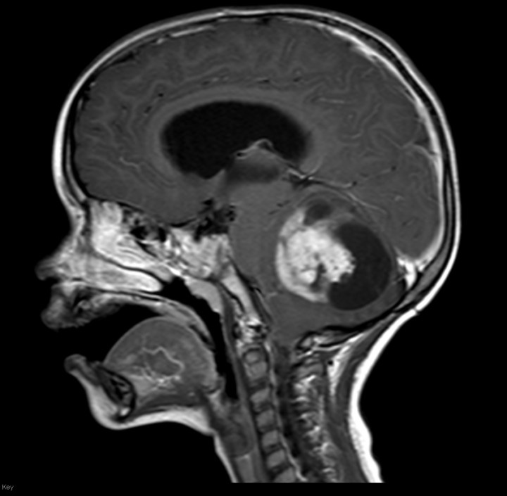
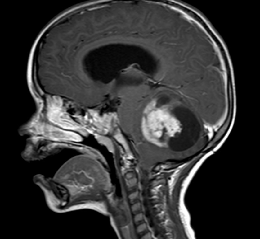
Astrocytomas are the most common type of glioma and contain the most detrimental subtype of brain cancers, glioblastoma multiforme. Astrocytomas affect the astrocytes in the brain, which make up the blood-brain barrier. Xia et al. from Purdue University looked to study the effect of SUMO-specific protease 1 (SENP1) knockout in cell lines derived from astrocytoma patients.
SENP1 was previously found to be overexpressed in lung cancers, neuroblastomas, and adenocarcinoma—hinting towards its pertinent role in a broad range of cancers. SENP1 is a protease that can reverse post-translation protein modifications that are important in maintaining stability and signal transduction. The protease gene expression was limited by RNAi using siRNAs transfection. The silencing the protease gene expression also displayed an inhibition in phosphorylation in the NF-κB/Akt pathway.
This inhibition in the pathway led to downregulation of Bcl-xL and cyclinD1; these proteins are found on the outer mitochondrial membrane and inhibit apoptosis by regulating the mitochondrial membrane’s permeability to caspases. As a result, apoptosis in astrocytoma cell lines was observed using western blots, and the data was statistically significant with a P-value of less than 0.01.
Xia et al. has demonstrated the importance of overexpression of SENP1 in astrocytoma anti-apoptotic characteristics. By effectively silencing the gene expression, the researchers were able to observe a marked decrease in cell line proliferation. The research displays how treatments for astrocytomas that involve gene silencing show potential.
References:
- H. Tian, et al. Inhibition of SUMO-specific protease 1 induces apoptosis of astroglioma cells by regulating NF-κB/Akt pathways. Gene 595, 175-179 (2016). doi:10.1016/j.gene.2016.09.040References.
- Image retrieved from: https://pedclerk.bsd.uchicago.edu/page/childhood-astrocytomas

