Daphne Siozios ’23

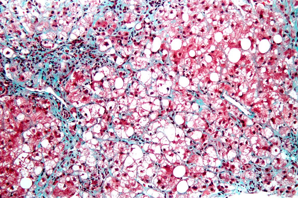
NAFLD, more commonly known as nonalcoholic fatty liver disease, is one of the most prominent chronic liver conditions in the country and is characterized by the accumulation of fat in hepatocytes (liver cells). A cousin of NAFLD, nonalcoholic steatohepatitis (NASH), is a condition that both encompasses the deposition of fat in the liver and inflammation of the organ. Fibroblast growth factor 21 (FGF21), which is naturally elevated by high-fat diets, has been found to reverse steatohepatitis in obese mice and reduce the risk of insulin sensitivity. However, a widely-used antiseptic called Triclosan (TCS) has been shown to promote elevated liver fat levels due to oxidative stress in species such as tadpoles and seemingly diminish the function of FGF21. Researchers at the Department of Pharmacology at the University of California, San Diego sought to find a more solid connection between high-fat diets (HFDs) and TCS toxicology.
Researchers began by grouping 4-week old mice in 2 separate groups where the control was fed an HFD consisting of 59% fat, 15% protein, and 26% carbohydrates dissolved in 0.2% dimethyl sulfoxide (DMSO). The experimental group was given the same chow-fed diet along with 0.35 mM of TCS dissolved in 0.2 % DMSO as well. After a 4 to 4.5 month period, the mice’s livers were harvested for gene analysis under histological parameters. After the 18 week testing period, the mice fed with an HFD showed elevated levels of circulating FGF21 compared to the experimental group. This confirmed previous studies with the conclusion that FGF21 displayed an adaptive response in preventing lipid accumulation and improving insulin stability. The group treated with TCS, however, saw lower levels of FGF21 in the mice livers. This proves that exposure to TCS disrupted the regulation of FGF21 normally stimulated by high-fat diets, thus making subjects under HFDs more susceptible to liver diseases.
The rising prevalence of TASH and NASH mirrors a vast increase in obesity and environmental toxicant exposure in modern life. This research brings to the scientific community’s attention a troubling side effect of a widespread chemical but also inspires a push for more information gathering. Indeed, future avenues of study can aim to further explore the chronic exposure of TCS and its impacts on FGF21 levels by studying human cohorts affected by NAFLD to better quantify the effects of this newly uncovered yet worrying phenomenon.
Works Cited:
[1] M. Yueh, et al., Triclosan leads to dysregulation of metabolic regulator FGF21 exacerbating high fat-diet induced nonalcoholic fatty liver disease. Proceedings of the National Academy of Sciences of the United States of America 49, 31259-31266 (2020). doi: 10.1073/pnas.2017129117.
[2]Image retrieved from:


