Vignesh Subramanian ’24

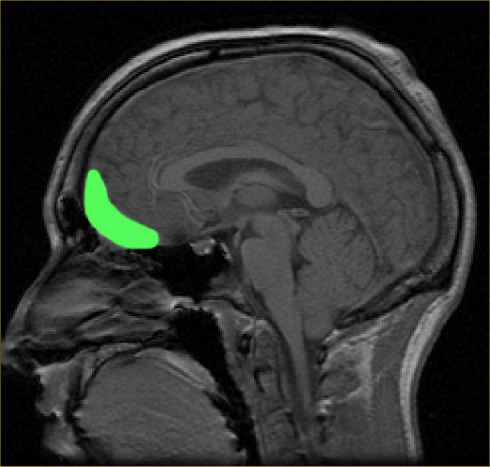
Figure 1: A sagittal MRI view of the human orbitofrontal cortex.
Chronic pain syndromes typically entail persistent pain lasting at least three months, marked by the long-term rewiring of neural circuitry that triggers unprompted pain signals. Measuring chronic pain has long proven challenging due to its entanglement with a wide array of overlapping neural circuits and the subjectivity with which it is reported and scaled. Chronic pain is frequently neuropathic – meaning the associated nerve damage causes weakness, numbness, and what feels like sudden, sharp ‘shooting’ pain – and thus results in substantial suffering while being difficult to predict and alleviate. Neuropathic chronic pain, in particular, is generally intractable, and no pain biomarkers have been identified for monitoring to allow clinicians to objectively assess pain severity or understand underlying pathophysiology.
Researchers at the University of California, San Francisco led by Dr. Prasad Shirvalkar sought to identify biomarkers of pain states in the frontal brain regions of patients with chronic, refractory neuropathic pain. The researchers set up a deep-brain stimulation clinical trial for four such patients, surgically administering intracranial electrode and neurostimulator implants into their anterior cingulate and orbitofrontal cortices (ACC & OFC), two regions believed to be involved in the affective and cognitive processing of pain. Ambulatory neural recordings were captured for six months, with subjects’ pain score reports being cross-referenced with the recordings to longitudinally map fluctuations in pain states. Finally, the pain states were decoded, assigning ‘high’ and ‘low’ intensity labels to distinct signals in the recordings. This aimed to determine whether the cortical signatures were indeed predictive biomarkers of chronic pain.
Researchers found that subjects’ pain reports correlated with local field potential signaling detected in the neural recordings, with clear distinctions between the firing patterns of acute and chronic pain. Chronic pain was primarily decodable in the OFC, with the decoding reflecting sustained changes in neural power over larger time intervals, while the ACC supported more frequent and transient changes in power akin to that of acute pain. This suggests that chronic pain particularly depends on signaling activity in the OFC, underscoring its potential status as a biomarker of associated pain states. These findings represent the first time in vivo neural recordings of chronic pain signals in the human brain have been captured – a significant milestone in the path to developing therapeutics that may predict and disrupt prolonged signaling. Follow-up studies will likely test the same conclusions in significantly larger patient populations and explore firing patterns in other cortical regions.
Works Cited:
[1] P. Shirvalkar, et al., First in-human prediction of chronic pain state using intracranial neural biomarkers. Nature Neuroscience 26, 1090-1099 (2023). doi: 10.1038/s41593-023-01338-z
[2] Image retrieved from: https://commons.wikimedia.org/wiki/File:MRI_of_orbitofrontal_cortex.jpg

