Sean Krivitsky ‘27
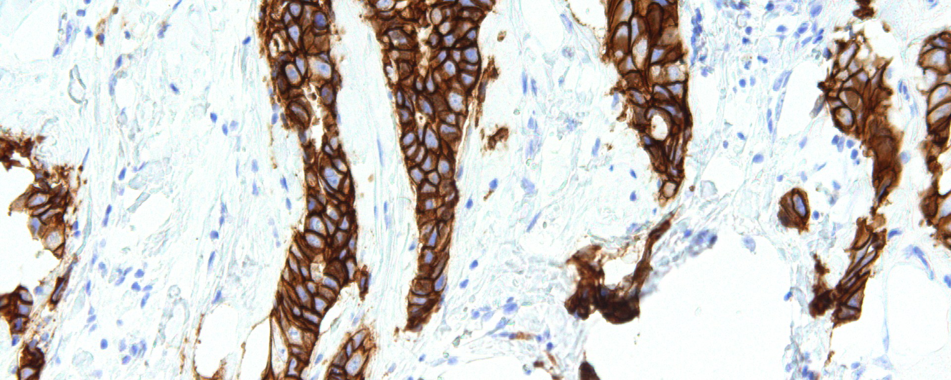
Figure 1. HER2 is a protein that has been strongly implicated in many human cancers, particularly breast cancer, and has been demonstrated to induce carcinogenesis through a variety of different mechanisms. This breast cancer tissue has been stained for HER2.
Some of the latest research by Stephen J. Collins of the Miller lab, a part of Stony Brook University’s Department of Physiology & Biophysics, provides key insights into the mechanism behind the development of human cancers and some alternative treatments to what is currently being offered to patients. Their research focused on human epidermal growth factor receptor 2 (HER2), which is a receptor tyrosine kinase that has been previously identified as a prominent oncogene in many human cancers (primarily in breast cancer) making it an important therapeutic target. In HER2-positive breast cancers, HER2 is sometimes mutated, often leading to its constitutive activation causing increased activation of downstream pathways, several of which have also been implicated in carcinogenesis. The goals of their research were as follows: to characterize the effects of two activating mutations in HER2 and identify compounds capable of inhibiting these HER2 mutants.
In order to conduct their study, the researchers first generated and purified mutant HER2, then tested them using in vitro kinase assays, Western blotting, and homology modeling alongside wildtype HER2 to measure and compare their activity and structure. This testing revealed elevated activity levels in HER2 mutants at over 200% as compared to wildtype HER2, further highlighting the importance of identifying potential inhibitors of these mutants for HER2-positive breast cancer treatment. The researchers also characterized the inhibitory abilities of many compounds alongside FDA-approved small molecule inhibitors of HER2 in both of the mutants generated by testing the percent activity reduction resulting from treatment with each inhibitor. By conducting a 2D similarity search on the most potent HER2 inhibitors, a group of second-generation compounds were identified and also tested for their inhibitory abilities. Through analyzing data including IC50 values, 3D pose predictions, and Western blots visualizing inhibitory activity, the group was able to successfully identify one of the second-generation compounds, named ZINC21943493, as a promising inhibitor of HER2.
The findings of this research help explain the role of HER2 mutations in HER2-positive cancers. They help elucidate the manner by which HER2 mutants impact the protein’s structure and how this relates to its constitutive activation. They also point to ZINC21943493 as a promising new inhibitor of HER2 and HER2 mutants that, upon further testing, may prove more effective than the FDA-approved small molecule inhibitors currently being used for the treatment of HER2-positive cancers, some of which lead to treatment resistance, unwanted side effects, and more.
Works Cited
[1] S. Collins, et al., Inhibition of mutationally activated HER2. Chemical Biology & Drug Design 101, 87-102 (2023). doi: 10.1111/cbdd.14125.
[2] Image retrieved from: https://commons.wikimedia.org/wiki/File:Her_2_staining_on_patient_breast_cancer_tissue_identified_as_stage_3.jpg

