Jessica George ’24

Multiple sclerosis (MS) is an immune system disorder in which the myelin sheath surrounding axons degenerates, causing system-wide brain-body disruptions. The cause of MS is unknown, but several triggers have been identified. A case study of a patient who developed MS symptoms a day after being vaccinated with hepatitis B inspired researchers from the Bassett Medical center to explore whether the hepatitis B vaccine is a potential trigger for MS or if it was merely a coincidence.
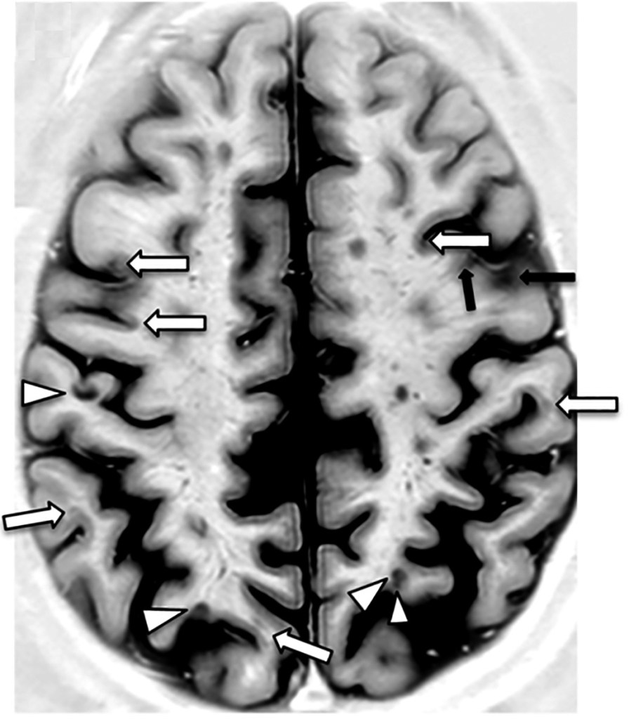
The case study examined the experiences of a 29-year-old female showing various MS symptoms, including impaired coordination, dizziness, and slurred speech. These symptoms had begun a day after the patient received the hepatitis B and flu vaccine and persisted for six days, with symptoms progressively worsening. The patient’s vitals and lab results displayed no abnormalities. However, a CT scan of the head indicated multifocal lesions, an attribute of tumefactive MS. Further, MRI of the brain revealed lesions in the bilateral cerebral and left cerebellar hemisphere with edema. Researchers also discovered macrophages and lymphocyte infiltrates as well as gliosis and loss of myelin in the patient. After the patient was treated with plasmapheresis, a process where blood is taken out from the body to be separated into components, the patient’s condition improved immediately. For the next two years, the patient experienced no further neurological disturbances or lesions.
Even though the patient initially presented to the ER with symptoms resembling MS, the short-term nature of the patient’s symptoms raises doubt as to whether the hepatitis B vaccine truly triggers MS. Long term neurological degeneration and the development of new lesions would be required for a concrete MS diagnosis. Furthermore, one case study alone is not enough to determine a possible link between the hepatitis B vaccine and MS symptoms, as symptoms could simply be due to the individual’s medical history, environment, and genetics. Despite the uncertainty of the link between the vaccine and the development of MS, healthcare providers should be aware of the possibility of MS developing in patients who have just received the hepatitis B vaccine.
Citations:
[1] K. Luhadia, et al., Hepatitis B vaccine and multiple sclerosis: cause or coincidence. Cureus 14, (2022). doi:10.7759/cureus.29941
[2] Image retrieved from: https://commons.wikimedia.org/wiki/File:Axial_PSIR_MRI_of_a_brain_with_multiple_sclerosis_lesions.jpg

