Peter Gillespie ’25

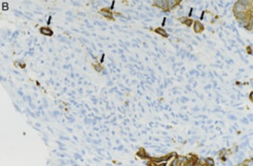
Can the success of cancer treatment be predicted before treatment begins? Findings from Dr. Wen and his colleagues at Stony Brook Medicine suggest that certain characteristics of the tumor and the microenvironment can predict the success of treatment in colon cancer patients. Dr. Wen and colleagues investigated the prognostic ability of intratumoral budding, which is the presence of one or a few cancer cells in the area surrounding a tumor. The impact of tumor microenvironment was considered as well. The researchers evaluated the histologic slides and tissue blocks of 37 patients who underwent neoadjuvant chemotherapy prior to radical surgery. Slides of each tumor were retrospectively analyzed by a gastrointestinal pathologist, and the extent of intratumoral budding was scored based on the number of buds present. The tumor microenvironment was also evaluated based on the maturity of the tumor stroma and the structural components supporting the tumors. The researchers compared the analysis of these pre-operative cells to post-operative outcomes, such as tumor regression score, which analyzes the extent of response to cancer treatment, and the T stage of cancer, which describes the size of the remaining tumor. Fischer exact tests, which assess the association between two categorical variables, were applied to the different designations for budding and tumor microenvironment derived from analysis of the slides, and T-tests were applied for all continuous data.
Based on the researchers’ comparisons of the intratumoral budding with post-operative outcomes, high-grade intratumoral budding was shown to be significantly associated with a tumor regression score of 2 to 3, which indicates that extensive tumor cells remained after treatment. High-grade intratumoral budding was also significantly associated with higher T-stage scores, which suggests that a larger tumor remained after treatment. The tumor microenvironment also had a prognostic value, as immature stroma was associated with both high-grade intratumoral budding and independently associated with poor response to treatment. The researchers postulate that immature stroma, with the cytokines and growth factors in the environment, may promote the cancer cells to transition out of epithelial tissue and become invasive in a process known as the epithelial-mesenchymal transition. However, researchers are still trying to determine the mechanism by which stroma type affects post-treatment outcomes. This study establishes two areas for pre-treatment evaluation as powerful and valuable predictors of treatment success.
Works Cited:
[1] X. Wen, et al., Intratumoral Budding and Tumor Microenvironment in Pretreatment Rectal Cancer Biopsies Predict the Response to Neoadjuvant Chemoradiotherapy. Applied Immunohistochemistry & Molecular Morphology, 30 (1), 1-7 (2022). doi: 10.1097/PAI.0000000000000966.

