New Blood Test Detects Variant Creutzfeldt-Jakob Disease
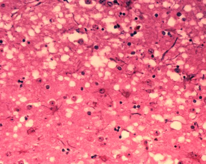
Patrick Yang ’20 Variant Creutzfeldt-Jakob disease (vCJD), commonly known as the human form of mad cow disease, is a neurodegenerative condition that is transmitted from infected cattle to humans. The disease’s long incubation stage allows for an asymptomatic period when prions, or infectious proteins, multiply in the brain with no sign of infection. On average, infected individuals die one to two years after onset of … Continue reading New Blood Test Detects Variant Creutzfeldt-Jakob Disease

